带着胸腔引流管生活是什么体验?
68岁的李老伯(化名)深有体会
2025年底,他因气胸复发
在当地医院接受“胸腔闭式引流术”治疗
本想着忍一忍
等气排出来就好了
没想到,管子带在身上一个多月
气胸竟迟迟无法复张
眼看年关将近,焦急地他辗转来到南通六院
找到呼吸与危重症医学科(三)主任史广林
久治不愈,竟是“瘘口”在作祟
“患者肺功能基础差,经长时间胸腔闭式引流仍持续漏气,临床诊断为难治性气胸。这是一种特殊类型的‘支气管胸膜瘘’,瘘口不愈导致病情反复,必须精准定位、对症施治。”

如何微创、精准封住这个顽固的“瘘口”?史广林主任团队经过深入剖析,决定为李老伯实施气管镜下胸膜瘘封堵术,通过“膨胀海绵+自体血”封堵瘘口。
该方案的优势在于:
取材便捷:膨胀海绵与自体血均为易得材料,减轻患者的经济压力。
安全高效:自体血无排异反应,凝固后形成“栓子”,能精准、严密封堵瘘口;使用膨胀海绵封堵如同给气管再加上一个“塞子”,给封堵手术加上双重保险,大大提高成功率。
精准微创:无需开刀,在气管镜下即可完成操作,患者痛苦小,术后恢复快。



术中,史广林在气管镜的精准引导下,经过球囊探查,找到漏气点支气管,随即注入患者自身的静脉血,再注入凝血酶使得自体血在管腔内迅速凝固,接着置入膨胀海绵,如同给充满混凝土的管道再加上一个“塞子”,将瘘口严丝合缝地堵住。
术后复查显示,李老伯气胸明显吸收,漏气量显著减少,肺部复张态势良好。
清除感染隐患,彻底甩掉“包袱”
春节前夕,思家心切的李老伯在身体尚未完全康复的情况下,坚持带着引流管出院回家团圆。尽管出院前医生已告知风险并反复叮嘱相关注意事项,但长期带管状态仍给身体带来了新的考验。年后返院复查时,因病程迁延,李老伯出现了脓胸及胸腔感染。


(因带管时间过长并发脓胸、胸腔感染,胸腔镜下见脓液与坏死组织)
面对病情波动,史广林团队迅速行动,在胸腔镜下细致清除了胸腔内的脓液与坏死组织,为肺复张创造了洁净环境。随着感染得到控制,李老伯的恢复进程明显加快。
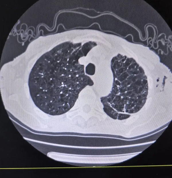
近日复查显示:瘘口完全愈合,肺部复张良好。出院前,团队经气管镜将“完成使命”的封堵海绵取出,那根陪伴了李老伯数月的引流管也终于被拔除。李老伯激动地说道:“太感谢你们了,这下终于可以把管子甩掉了!”


(复查CT显示肺部复张良好,完成使命的海绵被取出)
医生提醒
“像李老伯这样饱受气胸折磨、久治不愈的患者并非个例,近期我们已成功帮助多位难治性气胸及术后胸膜瘘患者摆脱困扰。”史广林特别提醒,气胸患者在胸腔闭式引流后,若漏气症状持续超过7-14天,需警惕“难治性气胸”。长期“带管生存”不仅严重影响生活质量,更增加了脓胸等严重并发症的风险。如今,呼吸介入技术的飞跃式发展带来了新希望——气管镜下封堵、内科胸腔镜等微创技术已成为攻克此类难题的有力武器。
未来,南通六院呼吸与危重症医学科将继续秉承“以患者为中心”的服务理念,深耕呼吸介入技术优势,以更精准、微创、个性化方案,为更多呼吸道疾病患者解除病痛,守护百姓的呼吸自由。

上一篇:缘遇良医,幸得圆满| 记南通六院喜棠主任一段温暖的助孕故事
下一篇:没有了







地 址: 南通市永和路881号 咨询电话: 0513-80886688、0513-80886699
官方微信号
在线挂号查询
官方咨询号
苏公网安备 32060202000782号 苏ICP备14014927号-1
南通市第一老年病医院(南通市第六人民医院、南通市肺科医院)版权所有