近日,我院呼吸与危重症医学科(二)主任赵焕带领团队,成功为受重度肺气肿困扰多年的林老伯(化名)实施了南通市首例经支气管内窥镜热蒸汽消融治疗术(BTVA),帮他迈出了摆脱“憋喘”困境的关键一步。
一动就喘,他的肺成了“破气球”
林老伯受慢阻肺折磨多年,平时稍微一动就喘不上气,六分钟步行测试仅仅只能走135米,活动耐力极差;肺功能检查FEV1(舒张后)占预计值百分比仅有30.1%,属于极重度慢阻肺合并肺气肿。

“患者的肺泡因为长期发炎,失去了弹性,就像一个个吹大了缩不回去的破气球,把正常肺组织挤得没有空间了。”赵焕主任介绍。

考虑到传统药物治疗已无法满足林老伯改善生活质量的迫切需求,经与患者及家属充分沟通,赵焕主任带领团队对患者病情进行充分讨论,制定了一项新兴的介入微创技术方案——经支气管内窥镜热蒸汽消融治疗术。
精准规划,医生定制“分步走”策略

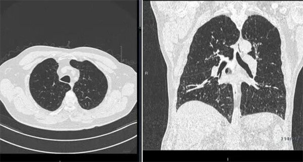
(肺部CT呈现非均质肺气肿表现)
由于患者属于典型的非均质上肺肺气肿,双肺上叶多个肺段均需干预。术前,呼吸与危重症医学科(二)团队结合胸部CT与虚拟导航技术,对目标亚段支气管进行了细致的可及性及热剂量评估,精准规划出最优手术路径。

考虑到治疗范围较大,若同期处理双侧,患者的肺功能可能无法耐受。团队经过严密讨论,决定采取“分步走”策略:先行右肺热蒸汽减容,待三个月后右肺气道重构恢复,再择期进行左肺手术。

术中,赵焕主任通过支气管镜将热蒸汽导管精准置入目标肺段,利用导管末端球囊临时封闭靶段支气管后,将预先经影像软件精准定量的加热水蒸汽输送至病变区域。这些高温蒸汽会引发目标肺段可控的炎症修复反应,促使病变的细支气管和肺泡发生不可逆的纤维化与瘢痕形成。随着无功能的气肿肺组织逐渐萎缩、体积减小,便能为相对正常的肺组织“腾出”空间,有效改善肺部通气效率,缓解患者的呼吸困难症状。

手术过程顺利,术后患者气喘症状明显改善。
随着呼吸介入技术的不断发展,慢阻肺的临床干预不再局限于单纯的药物保守治疗,针对药物治疗效果不理想的中重度患者,经支气管镜肺减容术正成为一项关键的进阶治疗手段。与传统外科肺减容术相比,该技术经支气管镜在气道内即可完成操作,具有创伤小、恢复快、疼痛轻、并发症相对较少等优势,尤为契合高龄及手术耐受性差患者的临床需求。
作为长期扎根于呼吸疑难危重症领域的专业团队,南通六院呼吸与危重症医学科始终以减轻患者痛苦为突破口,不断跨越技术壁垒,将国际前沿理念转化为守护健康的利器。未来,科室将继续在疑难呼吸疾病领域精研笃行,用有温度、有厚度的前沿医疗技术全心全意服务患者,矢志不渝地为江海百姓的每一次畅快呼吸保驾护航。







地 址: 南通市永和路881号 咨询电话: 0513-80886688、0513-80886699
官方微信号
在线挂号查询
官方咨询号
苏公网安备 32060202000782号 苏ICP备14014927号-1
南通市第一老年病医院(南通市第六人民医院、南通市肺科医院)版权所有