起初以为只是普通的腰痛
谁曾想竟是肺部埋下了“炸弹”
短短三个月
结节体积翻倍
更可怕的是
它已经悄无声息地
发生了转移……
面对位置刁钻、穿刺难度极大的“狡猾”病灶,南通六院肿瘤科团队迎难而上,通过多学科协作破解高难度肺深部肿瘤诊断难题。
腰痛就医,意外发现肺部“炸弹”
72岁的周老伯(化名)是个老烟民,去年11月,因腰痛至当地医院就诊,本以为是腰椎间盘突出,结果胸部CT却意外发现了一个约1.8cm*1.4cm的肺部结节,抗感染治疗无效。

近日,周老伯来到南通六院肿瘤科就诊。复查胸部CT发现:短短三个月,结节竟增大至2.9cm*2.4cm,体积翻了超过一倍!更糟糕的是,进一步检查提示已发生骨转移及纵膈淋巴结转移,病情进展极为迅速。
难度升级:病灶位置刁钻,穿刺步步惊心
“恶性肿瘤可能性极高,只有尽快拿到精准病理结果,才能制定后续治疗方案,这是肿瘤救治的关键一步。”肿瘤科主任茅力平强调,病理诊断是肿瘤治疗的“金标准”,对于周老伯这种进展期肺癌,早一刻明确诊断,就能多一分生存希望。
然而,诊断之路却困难重重。团队面临两难抉择:气管镜下淋巴结穿刺虽相对便捷,但因淋巴结组织存在坏死,极易取到无效标本,出现假阴性,延误诊治;而针对主病灶实施经皮肺穿刺活检,则由于位置特殊,操作难度与风险极高。
1.位置凶险
结节位于右下肺,位置极深,藏匿于肝脏与心脏的“夹缝”之间,靠近膈肌,位置变化受呼吸运动影响大,进针路径稍有不慎,便可能误伤重要脏器,引发大出血。

2.肺功能差
血气分析提示低氧血症;由于常年吸烟,肺部严重的纤维化及支气管扩张导致肺功能极差,一旦并发气胸,后果不堪设想。
“为了给患者争取宝贵的治疗时间,必须迎难而上!”茅力平主任、马雷副主任医师进行了仔细研讨,综合考虑后认为:尽管具有一定风险,但对主病灶进行经皮肺穿刺活检,仍是当下的最优方案。
迎难而上:
超长穿刺针+ROSE技术,“一针定乾坤”
为了确保穿刺万无一失,医疗团队进行了周密的术前讨论和准备。针对结节位置深的特点,特意选用了15cm的超长穿刺针,确保能精准“探囊取物”。

为了减少患者痛苦,避免二次穿刺的风险,肿瘤科与呼吸与危重症医学科团队紧密协作,开展了ROSE(快速现场评价)技术。
在CT精准引导下,马雷副主任医师操作超长穿刺针,巧妙避开心脏、大血管及肝脏,精准抵达病灶核心,顺利完成组织取材。
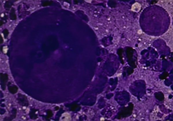
呼吸与危重症医学科(三)缪雨青主治医师即刻开展ROSE检测,快速病理当场便发现了异常细胞!

术后周老伯生命体征平稳,未出现出血、气胸等并发症,最终病理确诊为肺腺癌。依托这份精准的病理报告,肿瘤科团队迅速为周老伯量身定制个体化治疗方案。
作为市级临床重点专科,南通六院肿瘤科深耕疑难复杂肿瘤诊疗领域,聚焦肺结节、肺癌及消化道肿瘤等恶性肿瘤,构建“精准诊断—个体化治疗—全程管理”的全链条诊疗体系。科室熟练开展高难度穿刺活检、肿瘤微创治疗、靶向治疗及免疫治疗等技术,依托多学科团队协同攻关,以硬核技术筑牢患者生命防线,持续提升肿瘤诊疗综合能力。
专家答疑:为什么看似不大的结节,会发生转移?
周老伯的结节不到3cm,为什么会发生骨转移和淋巴结转移?
对此,茅力平主任解释道:结节的良恶性及严重程度,不能单凭大小判断,还需要结合密度、边缘形态特征以及生长速度等综合判断。
01生长速度
周老伯的结节在3个月内体积翻倍,这种“疯长”的趋势,往往提示恶性程度较高,侵袭性强。
02实性成分与性质
有些结节虽然个头不大,但如果实性成分多,或者边缘有分叶、毛刺等征象,也容易发生早期转移。
03个体差异
每个人的体质不同,肿瘤细胞的生物学行为也不同。周老伯长期吸烟,肺部环境复杂,也增加了疾病进展的风险。
专家提醒:肺部结节不可怕,早诊早治是关键!如果发现肺部结节,一定要遵医嘱定期随访。尤其是结节在1cm以上,伴有毛刺样、分叶状、毛玻璃样或是有胸膜凹陷等改变的情况,需要特别警惕。一旦发现结节增大、密度改变或出现实性成分,应立即到医院就诊。
专家简介

茅力平 主任医师肿瘤科主任
专业擅长:从事肿瘤临床工作30年,专注于实体肿瘤的化疗、分子靶向治疗和生物免疫治疗,倡导在循证医学指导下对恶性肿瘤进行规范化治疗和基于基因背景的精准治疗。善于将国际前沿学术理论与真实世界实际应用融合,从而达到提高肿瘤患者生活质量,延长生存时间。掌握肝癌、肺癌的血管介入和消融手术。

马雷 副主任医师
专业擅长:从事肿瘤外科专业十余年,曾在上海市第十人民医院肝胆及胃肠外科进修。擅长:腹部肿瘤手术为主的综合治疗以及常见实体瘤的个体化治疗。







地 址: 南通市永和路881号 咨询电话: 0513-80886688、0513-80886699
官方微信号
在线挂号查询
官方咨询号
苏公网安备 32060202000782号 苏ICP备14014927号-1
南通市第一老年病医院(南通市第六人民医院、南通市肺科医院)版权所有